Osteoarthritis of the Knee
There are over 100 types of arthritis (osteoarthritis, post-traumatic, rheumatoid, etc). The most common form is osteoarthritis, also known as OA or degenerative joint disease (DJD).
Osteoarthritis is characterized by the breakdown of the articular cartilage, the firm whitish-colored rubbery protein material covering the ends of bones. It acts as a cushion and bearing surface between the bones, allowing them to glide smoothly over each other with almost zero friction. Osteoarthritis commonly affects large weight-bearing joints such as the hip and knee, but may affect any joint. Knee osteoarthritis is the most common osteoarthritis, and is the leading cause of disability in the United States.
Causes of Osteoarthritis of the Knee
The exact cause of knee osteoarthritis is unknown. Some contributing factors include: previous injury, aging, misalignment, genetics, and obesity.
Symptoms of Knee Osteoarthritis
The number one symptom of osteoarthritis of the knee is pain. The causes of pain in osteoarthritis include: irritation and pressure on the nerve endings in the bones, inflammation of the joint lining (synovitis), muscle tension and fatigue. The pain may progress from mild soreness and aching with movement to severe pain even during rest. The second symptom is loss of easy movement. As the lining cartilage wears away, the joints no longer glide smoothly. Eventually, the ends of the bones become rough and irregular, with resulting stiffness. This lack of mobility, in turn, often causes the muscles serving the knee to weaken, and overall body coordination suffers. Other symptoms common to osteoarthritis include grinding and "popping" sensations, joint swelling, and feelings of locking or giving way.
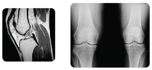
The diagnosis of osteoarthritis is usually made based upon the patient's medical history, physical examination, and X-ray findings. An MRI may be helpful in some cases to confirm the diagnosis and rule out any other conditions.
How to Treat Knee Osteoarthritis
Osteoarthritis is not a curable condition. The disease usually progresses slowly or worsens over many years. Therefore, goals include decreasing pain, swelling, and inflammation, while increasing or maintaining joint function. To achieve these goals, a number of different treatments are used. Non-operative forms of pain management may include physical therapy, icing, activity modification, and bracing. Medications such as Tylenol ®, aspirin, or anti-inflammatories help decrease pain and swelling. An over-the-counter supplement containing glucosamine and chondroitin sulfate may be taken long-term to help alleviate symptoms and possibly slow progression of the disease. Cortisone injections into the joint may reduce acute symptoms for several months. Three or four steroid injections may be given per year, in each affected joint, without harm. Some relatively new injectable medications (Synvisc, Hyalgan, or Supartz) may help alleviate symptoms for 6 to 12 months in certain patients. These are administered by a series of 3 or 5 weekly injections, and may be repeated as needed.
Wearing osteoarthritis knee braces can also help alleviate pain as you go about your daily activities. These knee braces work by reducing pressure on the arthritic areas of the knee and offloading it to the healthier areas of the knee.
SUPPORT & PROTECTION FOR KNEE OA
View all braces and supports for Knee Osteoarthritis-
Special Price $25.99 Regular Price $28.99On Sale 10% Off Save $3.00Built for athletes who demand support without compromise. The extra-large silicone buttress and flexible stays stabilize the kneecap and provide medial/lateral support, ideal for patellofemoral syndrome, mild sprains, and overuse injuries. Its 4-way stretch knit, anti-migration silicone hemline, and Aegis® antimicrobial technology ensure comfort and durability, on or off the field.The Deluxe Knit Knee Sleeve can be used to treat or prevent the following knee injuries:
- Mild Knee Sprains & Strains
- Inflammation
- Bursitis
- Arthritis
- Patellofemoral Syndrome (PFPS)
- Overuse Injury
-
Special Price $48.99 Regular Price $53.99On Sale 9% Off Save $5.00(3) ReviewsStabilize Your Stride Dual-pull straps and removable buttresses deliver customizable patellar support for peak performance. Lightweight 4-way stretch knit ensures comfort and flexibility during every workout.The Dual-Pull Patella Stabilizer Knee Sleeve can be used to treat or prevent the following knee injuries:
- Runner's Knee
- Patellofemoral Syndrome (PFPS)
- Patella Maltracking
-
Special Price $43.99 Regular Price $43.99On Sale 0% Off Save $0.00(51) ReviewsEngineered for athletes who demand support without compromise. The TriZone Knee Support combines compression and bracing in a single sleeve, featuring three strategically placed zones for enhanced stability and comfort. Crafted with carbonized bamboo for natural odor control and breathability, it's ideal for sports like basketball, running, and volleyball.The Trizone Knee Support Brace can be used to treat or prevent the following knee injuries:
- Tendonitis
- Meniscus Injury
- Muscle Strain
- Over Use Injury
- Mild Joint Instability
- Need for Compression
-
$69.99On Sale 0% Off Save $0.00(2) ReviewsBreak the pain loop and stay in play. Powered by ActiPatch® pulsed shortwave therapy, it delivers 1,000 sensation-free electromagnetic pulses per second to calm hypersensitive nerves and reduce pain from musculoskeletal injuries or osteoarthritis. With 720 hours of continuous relief, adjustable straps, and a slip-on design, it's built for athletes who demand performance without compromise.The EME Knee Wrap can be used to treat or prevent the following knee injuries:
- Osteoarthritis
-
Special Price $25.99 Regular Price $28.99On Sale 10% Off Save $3.00(3) ReviewsStabilize Your Game Medial and lateral spiral stays provide dynamic support for sprains, strains, and patellofemoral discomfort. Breathable, low-profile design with expansion panels ensures unrestricted movement during any activity.The Deluxe Elastic Knee Sleeve can be used to treat or prevent the following knee injuries:
- Mild Knee Sprains & Strains
- Swelling
- Arthritis
- Soreness
- Patellofemoral Syndrome
-
Special Price $15.99 Regular Price $17.99On Sale 11% Off Save $2.00(3) ReviewsLightweight Support, Maximum Performance Experience mild compression and warmth with a 2mm neoprene sleeve designed for active recovery. Ergonomic fit and anti-slip tech keep you moving confidently—on the field, in the gym, or on the trail. -
Special Price $77.99 Regular Price $86.99On Sale 10% Off Save $9.00(67) ReviewsLock in stability, dominate every move. Polycentric hinges with hyperextension stops + anti-migration wrap-around fit means this brace locks you tight through every jump, cut, and sprint Breathable neoprene, stretch-web closures, stash pocket and reflectivity keep you agile, comfortable, and game-ready—day or nightThe Bionic Knee Brace can be used to treat or prevent the following knee injuries:
- MCL and LCL Instabilities
- Knee Hyperextension
- General Meniscus Support






